$28 Glaze+ Laser Face Treatment
- Rejuvenate skin
- Improve wrinkles & fine lines problems
- Lighten pigmentation
- Stimulate collagen production
- No downtime
Sign Me Up!
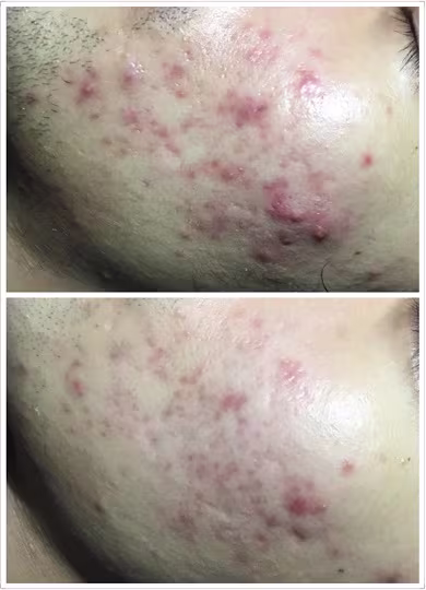
Real Results
Glaze+ Laser Face Treatment addresses a suite of different skin concerns e.g., wrinkles, open pores, acnes, pigmentation utilizing latest laser technology. The painless face treatment has no downtime.
The laser beams penetrate down to the dermis layer of your skin without damaging the upper layer. When the light energy is absorbed in your skin, a few positive effects will happen to your skin:
- Light energy simulates collagen production. We all know that collagen is crucial for maintaining youthful skin because it enhances firmness of the skin. Therefore, Glaze+ is helpful for problems like fine lines, wrinkles and gives you a radiant look.
- Pigment cells in your skin absorb the light energy, which is converted into heat. The heat destroys the unwanted pigment. As a result, this is also an effective treatment for pigmentation.


