"I feel that the staff at La Vie Aesthetics always do a thorough assessment and treatment for every session. I have started to see results on my skin and my skin has started clearing up."
Monica
"I feel that the staff at La Vie Aesthetics always do a thorough assessment and treatment for every session. I have started to see results on my skin and my skin has started clearing up."
Monica
Finally I found a beautiful beauty centre. There are no word to explain how satisfied I am about their service. I wish I'll be a permanent customer of them.
Mon
"All this while my face is dry and sensitive skin. I have tried a lot of hydrating and moisturizer products but still cannot see any improvement. Recently I have noticed that my skin becoming extremely dry. As such, I have decided to try 水光针. My friend recommended me to La Vie aesthetics. A lot of people said 水光针 is very painful. As such, before I start the treatment I have consulted the beautician. The beautician assured me that it is not as painful as what I had imagined and also safe for people who have sensitive skin. After tried, it is not painful at all. You can feel the water is going into your face deeply. In just 1 treatment, I can see my pores got significantly smaller and my face seems to be smoother and the redness on my face also reduced significantly. The results were immediate and is more effective than my usual moisturizers. I was seriously surprised and impressed. I will definitely continue with this 水光针 treatment again in La Vie aesthetics!"
Anita
"Blackheads are my enemies all this while, especially those on my nose. I have been trying variuos treatments and products but the problem remains. With just a few round of the Smart X treatment, my blackheads become easier to be cleared. In addition, my aesthetician will help me do the V Contour treatment prior to the Smart X treatment. my face looks brighter and firmer after these. This is totally what I am looking for, highly recommend for you, you will love it."
Anello Huang
"I have started my slimming journey since 17 years old. Along the journey, I have tried several ways like meal replacement, slimming pills, traditional slimming treatment. However, none of the methods can help to lose weight and shape up in a short period. Until i met Letitia Lee, the friendly and experienced advisor from La Vie Aesthetics, introduced me to do their ByeFats treatment. with just one round of treatment, my close friends noticed that my body is shaping up in just 3 weeks. I am so glad with the result and can't wait for my next session of treatment!"
Diana
"As a gym lover, i spend 3 hours daily in the gym room. No matter how hard i train, it is difficult for me to get rid of the fat for my love handles. After one time treatment, i saw a great improvement as u can see it helped to shape up my love handles. It is unbelivable and i feel so happy with the result. I will definitely come back again for more treatment."
Max
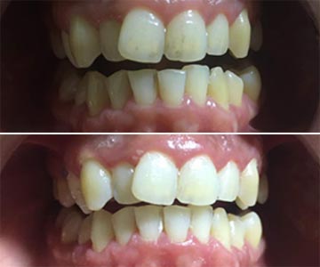
"As a coffee lover, I will have a cup of coffee every morning. I didn't realize the colour of my tooth until I went for a check up. I decide to try out tooth whitening treatment at La Vie. After one treatment my tooth is whiter. Good bye coffee stain!"
Jill Tan
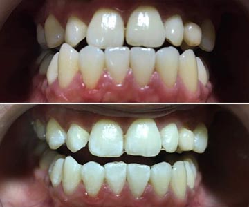
"I m not a coffee drinker or a smoker but I had yellow teeth and stain over the years. I have extremely sensitive teeth and gums that’s why I have struggled for years to get my teeth white. I am seeing extremely good results after my teeth whitening treatment in La Vie. I experienced no sensitivity during the treatment. I am happy with my new smile without the dentist cost."
Amex Wong
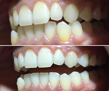
"Impressive treatment! Never know that my teeth can be so white until i try the teeth whitening treatment. It is totally worth for money. Thank you La Vie!"
Leslie Ong